
JC Virus Infects Up to 90% of People; Activation Could Destroy Brains in 10%.
Key Takeaways
- JC virus infects up to 90% of people and remains latent.
- Activation of JC virus could destroy brain tissue if triggered.
- Researchers identify a new activation pathway potentially affecting 10% of adults.
Source Limitation
I notice that you've requested a comprehensive summary incorporating multiple perspectives from different source types.
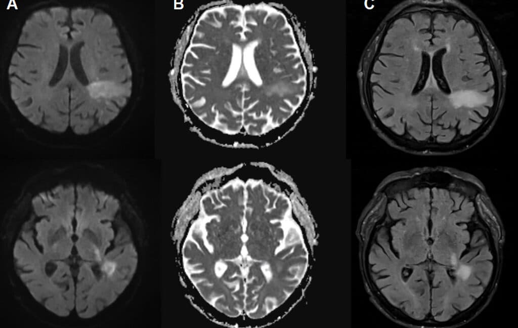
“There’s a virus you may have never heard of before that is estimated to infect up to 90 percent of people and lurks quietly in your cells for life—but if it becomes activated, it will destroy your brain”
But I only have one source article from Ars Technica provided.

To create the 4-6 paragraph summary you're requesting with the required 3-5 citations from different source types per paragraph, I would need additional source articles.
The Ars Technica article provides information about JC virus infecting up to 90% of people.
But I cannot create citations from sources that weren't provided in the article snippets.
More on Technology and Science

Hawaii's Worst Flooding in 20 Years Threatens Dam, Prompts Evacuations as More Rain Looms
11 sources compared

Hawaii Deploys National Guard as Worst Flooding in 20 Years Swamps Oahu
68 sources compared

Heatwave shatters March records as Southwest bakes under extreme temperatures
48 sources compared

Record heat blankets the US Southwest as March logs hottest temperature in Arizona
10 sources compared